
Your Smile, Reimagined
Dr. Ahmed Nurein — a highly trained periodontist and dental implant specialist. Restoring confident smiles with world-class expertise in Malindi and Watamu.
12+
Years Experience
100+
Happy Patients
#1
Leading Specialist North Coast


A Leading Dental Specialist on Kenya's North Coast
As a University of Nairobi graduate (2013), Dr. Ahmed Nurein has dedicated over a decade to transforming smiles across Kenya's coastal region. His passion for dental excellence led him to complete his Masters in Periodontology from Marmara University, Istanbul — one of Turkey's most respected dental institutions.
Dr. Nurein is a highly respected dental specialist serving Malindi and the entire North Coast of Kenya. As a recognized member of the Cambridge Academy of Dental Implantology, he brings international-standard implant expertise to the heart of the Kenyan coast.
"My goal as a periodontist and implant dentist is not only to restore missing teeth but to provide patients with a renewed sense of confidence and a reason to smile."
BDS — University of Nairobi
Bachelor of Dental Surgery from Kenya's premier university
MSc Periodontology — Marmara University
Advanced specialization in periodontics from Istanbul, Turkey
Cambridge Academy of Dental Implantology
Recognized member of this prestigious international implant academy
Practice Locations
Star Specialist Hospital
Malindi, Kenya
Watamu Reef Clinic
Watamu Mall, Jacaranda Rd
World-Class Dental Care on Kenya's Coast
Specialist Expertise on the North Coast
Dr. Nurein is a highly trained periodontist and implant specialist serving Malindi and the entire North Coast of Kenya.
Advanced Technology
State-of-the-art dental equipment and techniques ensure precise, comfortable, and long-lasting results for every patient.
Patient-Centered Care
Open communication and shared decision-making ensure you feel empowered and informed about every treatment option.
International Training
MSc from Marmara University (Istanbul) and Cambridge Academy membership bring global expertise to your doorstep.
Comprehensive Solutions
From single implants to full-mouth rehabilitation, all your dental needs are handled under one roof by a specialist.
Two Convenient Locations
Visit us at Star Specialist Hospital in Malindi or Watamu Reef Clinic in Watamu — quality care, wherever you are.

Dental Implants — The Gold Standard for Missing Teeth
Missing teeth affect more than your smile — they impact your confidence, your health, and your quality of life. Dental implants are the most advanced, permanent solution available today.

Natural Look & Feel
Implants look, feel, and function exactly like your natural teeth
98% Success Rate
Dental implants have one of the highest success rates in modern dentistry
Lifetime Solution
With proper care, dental implants can last a lifetime — no replacements needed
Preserve Jawbone
Implants stimulate bone growth, preventing the facial collapse caused by missing teeth
Your Implant Journey — Step by Step
Consultation & Planning
Comprehensive examination, 3D imaging, and personalized treatment plan tailored to your needs.
Implant Placement
The titanium implant is precisely placed into the jawbone under local anesthesia — comfortable and pain-free.
Healing & Integration
Over 3-6 months, the implant fuses with your jawbone through osseointegration, creating a rock-solid foundation.
Crown Placement
A custom-made, natural-looking ceramic crown is attached to your implant — your new permanent tooth.
Are You a Candidate for Dental Implants?
Call +254 719 666 664 or WhatsApp +254 740 580 088
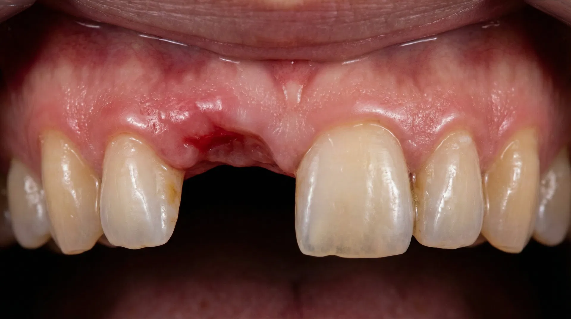
Before & After Transformations
See the life-changing results achieved by Dr. Nurein. Drag the slider to compare before and after treatment photos.
Note: Cases 2, 3, and 4 feature real patient results. Other cases are illustrative. Actual results may vary. Consult Dr. Nurein for a personalized assessment.


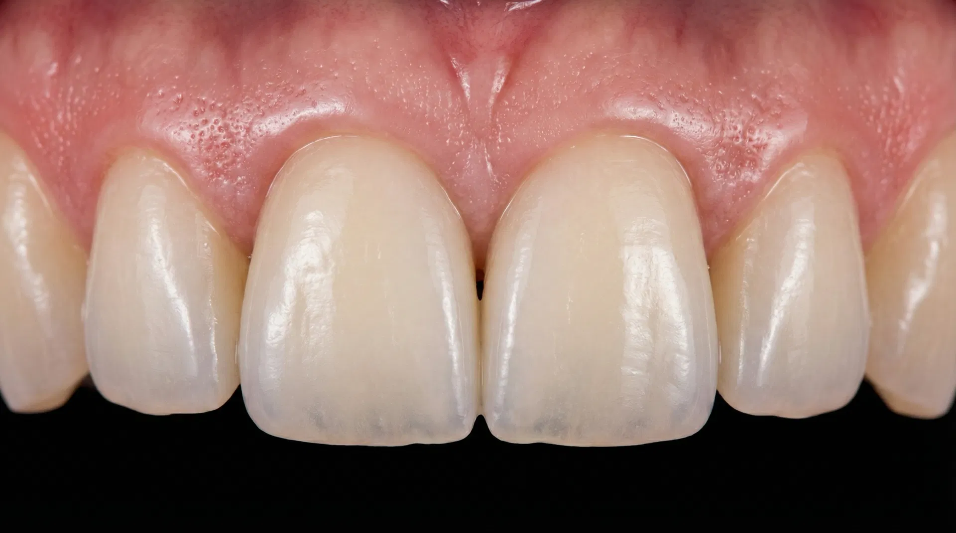
Single Tooth Implant
Missing upper front tooth replaced with a premium titanium implant and porcelain crown, restoring a natural, seamless smile.

All-on-4 Dental Implants
The All-on-4 treatment concept is a revolutionary solution for patients who have lost most or all of their teeth. Using just four strategically placed implants, an entire arch of fixed, non-removable teeth can be supported — giving you a brand new smile in as little as one day.
Comprehensive Dental Care
From routine check-ups to complex implant surgery — all your dental needs under one roof, delivered by a qualified specialist.
Dental Implants
Single tooth, multiple teeth, or full-mouth implant solutions using premium titanium implants.
Periodontics
Expert treatment for gum disease, including scaling, root planing, and advanced periodontal therapy.
Cosmetic Periodontal Surgery
Gum contouring, crown lengthening, and soft tissue grafting for a beautiful, balanced smile.
All-on-4 Implants
Full arch rehabilitation with just four implants — a complete smile in a single procedure.
Teeth Whitening
Professional in-office whitening for a brighter, more confident smile in just one visit.
Digital Smile Design
Advanced digital planning to preview your new smile before treatment even begins.
Crown & Bridge
Custom-crafted crowns and bridges to restore damaged or missing teeth with natural-looking results.
Root Canal Treatment
Painless root canal therapy to save infected teeth and eliminate pain.
Veneers
Ultra-thin porcelain veneers to transform the shape, color, and alignment of your teeth.
Also Available

What Our Patients Say
"Dr. Nurein is not only a skilled periodontist and implant dentist but also a compassionate and attentive healthcare professional. He took the time to understand my concerns and patiently addressed all my questions throughout my periodontal treatment. Dr. Nurein's gentle approach and commitment to my comfort made the entire process stress-free. I am grateful for his expertise and highly recommend him for comprehensive periodontal care."
John Maina
Periodontal Treatment
Dental Health Insights
Stay informed with expert articles from Dr. Ahmed Nurein on gum disease prevention, implant care, and smile transformation.

Why Some Dental Implants Fail
Understand the reasons why dental implants sometimes fail and learn how to prevent implant failure. Discover the factors that affect implant success and how Dr. Nurein ensures long-term implant survival.

Bleeding Gums Are Not Normal: The Early Sign of Gum Disease
Discover why bleeding gums are a serious warning sign of gum disease. Learn the stages of gum disease, what causes bleeding gums, and how early treatment can save your teeth.

What Happens If You Don't Replace a Missing Tooth?
Discover the serious consequences of leaving a missing tooth untreated. Learn how tooth loss affects your oral health, appearance, and quality of life—and why dental implants are the best solution.
Frequently Asked Questions
Everything you need to know about dental implants, costs, insurance coverage, and the recovery process.
Still have questions?
Dr. Nurein is happy to answer any questions during a free consultation.
Book ConsultationShowing 4 questions in "Costs & Pricing"
Still have questions?
Dr. Nurein is happy to answer any questions during a free consultation.
Book ConsultationBook Your Consultation
Ready to transform your smile? Reach out to us at any of our three locations or send a message directly.
Visit Our Clinics
Star Specialist Hospital
Malindi, Kenya
Watamu Reef Clinic
Watamu Mall, Jacaranda Road, Watamu
Langoni Hospital
Lamu, Kenya
Star Specialist Hospital
Malindi, Kenya
Watamu Reef Clinic
Watamu Mall, Jacaranda Road, Watamu
Langoni Hospital
Lamu, Kenya
WhatsApp Us Directly
+254 740 580 088